Resource hub
Headline
Aug 26, 2016 | TIME
Louisiana Governor: 'Historic' Flooding is Being Ignored
Headline
Aug 26, 2016 | Miami Herald
Hurricane or not, South Florida in for wet weekend
Headline
Aug 26, 2016 | USA Today
Hurricane or heavy rain could spread Florida's Zika outbreak
Headline
Aug 25, 2016 | USA Today
Hurricane would soak waterlogged South
Headline
Aug 25, 2016 | Bloomberg
The Biggest Hurricane Threat to U.S. Is the System With No Name
Headline
Aug 25, 2016 | Mashable
Florida, Gulf Coast facing potentially dire hurricane scenario, but details unclear
Headline
Aug 25, 2016 | The Weather Channel
3 Things We Know About Invest 99-L and 3 Things We Don't Know Yet
Headline
Aug 25, 2016 | Weather Underground
Unwelcome Rains Will Put Stress on Lake Okeechobee’s Dike
Headline
Aug 25, 2016 | Weather Underground
Is the Wait-and-See Game With 99L Ending?
Headline
Aug 25, 2016 | Reuters
Wildfire forces closure of south entrance to Yellowstone National Park
Headline
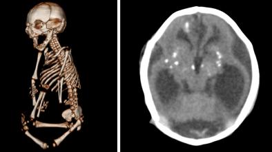
Aug 25, 2016 | NPR
Zika Images Show 'Worst Brain Infections That Doctors Will Ever See'
Headline
Aug 25, 2016 | Washington Post
Florida’s Zika outbreak is spreading, with new case in St. Petersburg area
